Cirujanos Ortopédicos de España para el Mundo COEM

6 al 14 de abril 2019

expedición

44

<<  Anterior       Siguiente  >>      

Esta es la historia de la 44ª expedición a nuestro Hospital en Camerún. Esta vez hemos viajado los traumatólogos Dr. Truan, Dra, Zorita, Dr Soriano y Dr Sotillo. Las anestesistas Dra. Fernandez Hueso y Dra. Ordoñez y el enfermero instrumentista Alberto García. El Dr. Guijarro en el último momento no puedo venir, le echamos de menos.

Hemos viajado  vía Casablanca donde tienen un estupendo aeropuerto moderno y donde pudimos cenar. 


Nada mas llegar a Duala, de madrugada emprendimos el viaje hasta Dschang con la obligatoria parada en la frutería del camino para abastecernos de frutas.


Tenemos un gran problema con la carretera de acceso al hospital desde Dschang. Es una carretera de esa tierra roja tan atractiva y clásica de África. El primer tramo está actualmente intransitable, hemos visto montones de arena en las cunetas lo que nos hace tener la esperanza de que la van a reparar, pero no han empezado los trabajos de deberían haber empezado esta semana.

Vídeo Reproducir video

Grandes novedades cuando llegamos, las obras de la Casa de Voluntarios siguen a buen ritmo y pronto contaremos con mas habitaciones  para cooperantes. De momento la que están liando es fina y nos han dejado sin poder comer en la calle , con lo que eso nos gusta.



Después del pase de visita para planificar el parte de quirófanos del lunes, paseo por las colinas de Dschang para estirar las piernas, después de muchas horas de avión, aeropuertos y coche hasta el Hospital. Me ha llamado la atención que cada vez quedan menos árboles.

Y el lunes empezamos la faena y operamos lo que estaba ingresado. En la consulta tuvimos pacientes suficientes para llenar el parte de toda la semana. Destacar que volvimos a hacer cirugía artroscopica para una artroliosis, en una  rodilla rígida con buen resultado.



En todas las expediciones nos hemos encontrado con niños preciosos, y esta vez no iba a ser menos. Tuvimos esta paciente con un elaborado peinado.

El banco de sangre sigue funcionando y en esta imagen vemos a Daniel, cooperante farmacéutico, que ha estado 6 meses en el hospital, donando sangre el día antes de volver a España.

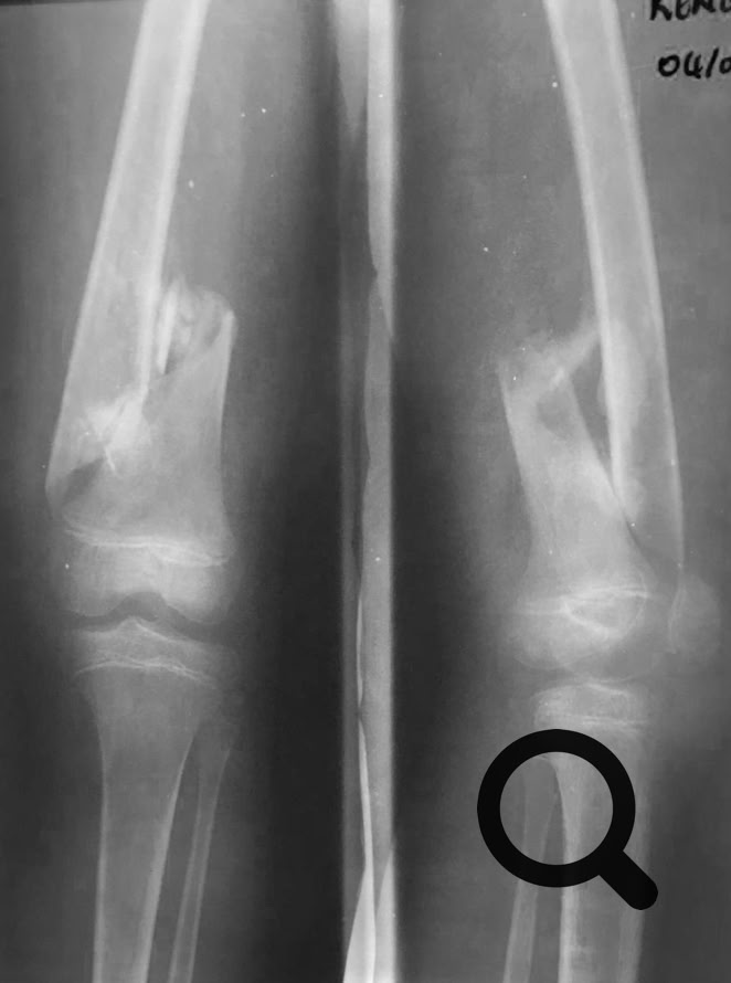
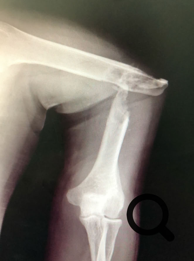
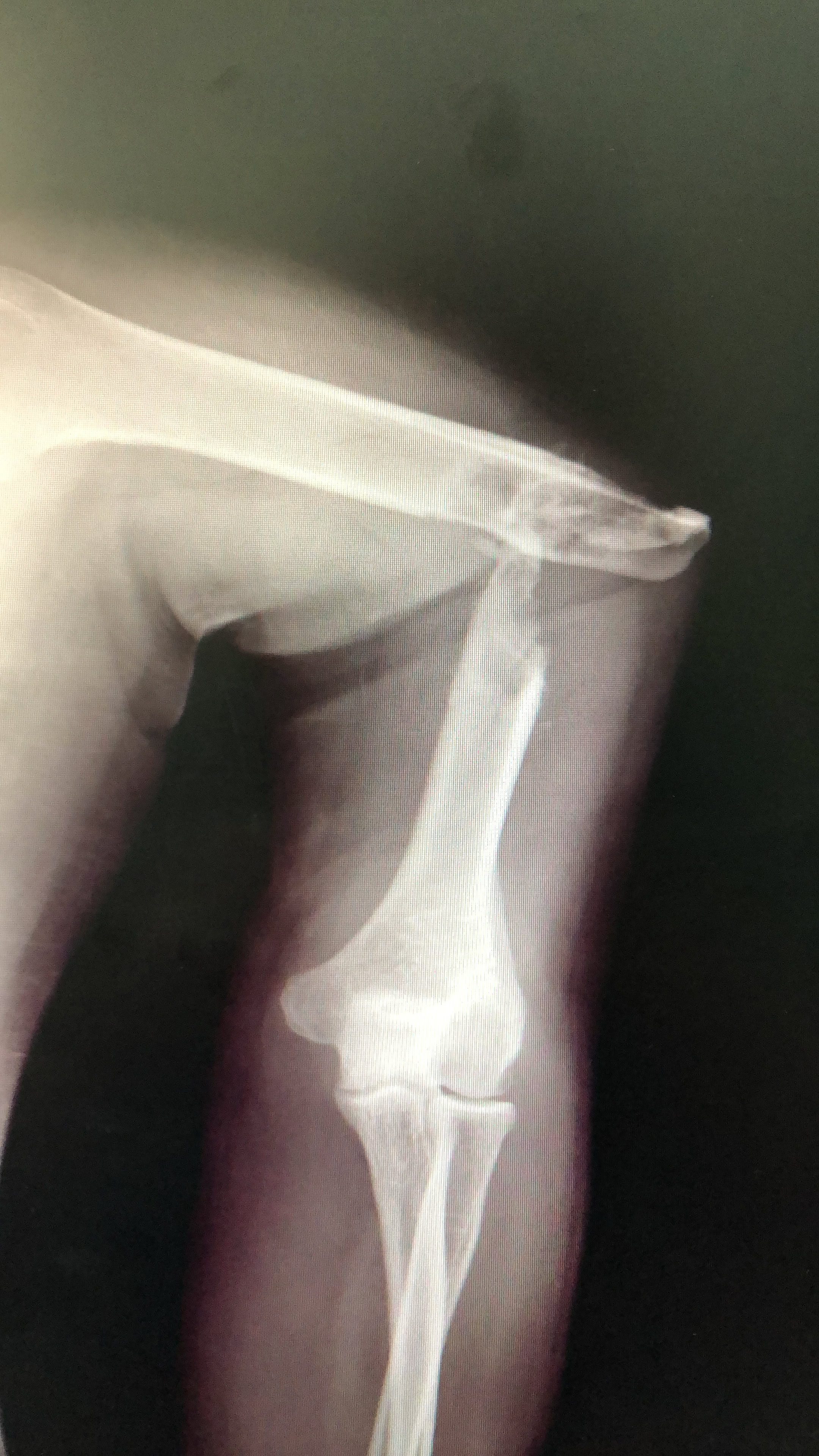
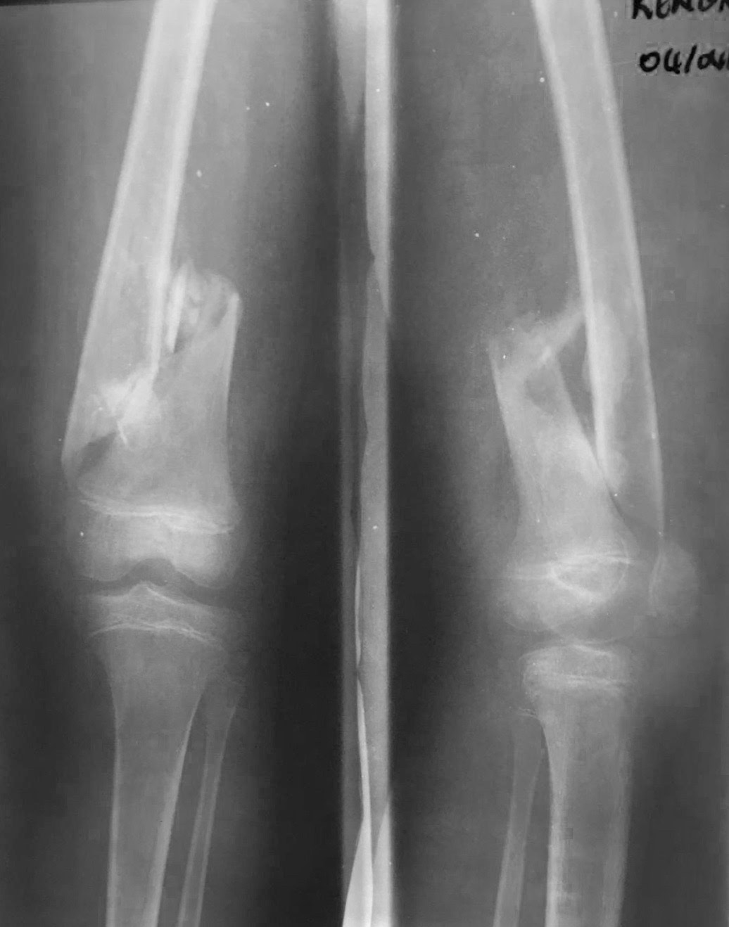
Como no podía ser de otra manera porque nos pasa siempre, nos hemos enfrentado a cirugía de alta complejidad, pseudoartrosis de húmero, fémur y tibia en adultos, así como  fracturas complejas.


Una cosa queda clara, los “masajes tradicionales cameruneses“ no son efectivos en el tratamiento de las fracturas de cualquier hueso, tanto en niños como en adultos y conducen inevitablemente a pseudoartrosis  muy difíciles de tratar.

Reunión de antiguos amigos del Hospital de Móstoles que hacía muchos años que no operabamos juntos, (De izquierda a derecha, Dr. Truan, Dr. Soriano y Dr. Sotillo)

Hemos hecho 24 intervenciones con anestesia general o regional en pacientes con graves traumatismos recientes o con secuelas de accidentes. Como siempre, gran trabajo de las anestesistas que pueden con todo.

Y como traca final, el viernes por la tarde cuando íbamos a preparar ya las maletas para el viaje de vuelta, tuvimos  dos urgencias que requerían cirugía  de urgencia. Una artritis séptica de rodilla en un paciente de 21 años operado en otro centro hacía tiempo de un Girldestone por lo que suponemos fueron las complicaciones de una artritis séptica de cadera y con una osteomielitis del fémur. Y un paciente con luxación abierta de rodilla, fractura de cóndilo externo y fracturas abiertas de metatarsianos. Osea, toda la tarde del viernes trabajando.

También tuvimos tiempo para ir el miércoles por la tarde a dar un paseo por Dschang y terminar tomando unas cervezas “au bord du lac”, donde algunos osados hacen ejercicio remando.

La Dra. Zorita que viajaba por primera vez a nuestro Hospital en Dschang, ha visto patologías que en nuestro medio habitual en Europa son impensables. En la fotografía aparece junto a una paciente a la que le colocó un fijador externo por una fractura conminuta de pilón tibial abierta grado III B. También el Dr Soriano y el Dr Sotillo, que también era su primer viaje, pudieron actuar directamente en intervenciones que ya son muy raras para nosotros en el primer mundo.

Como siempre en la carretera de vuelta, encontramos los clásicos coches sobrecargados con personas y mercancías. No es de extrañar que  haya tantos accidentes y con consecuencias tan trágicas.

El viaje de vuelta fue mucho más largo de lo previsto ya que los chicos de Royal Air Maroc, nos llevaron de paseo a Bangui, capital de la República Centroafricana en una escala que desconocíamos que se iba a realizar. 

VOLVEREMOS EN MAYO

Esta web utiliza cookies para obtener datos estadísticos de la navegación de sus usuarios. Consulta nuestra política de privacidad y política de cookies para obtener más información. 


Puedes aceptar todas las cookies pulsando el botón "Aceptar todo”, rechazar su uso pulsando el botón “Denegar” ….

o selecciona las que desees y pulsa el botón  “Aceptar seleccionadas”. 

Aceptar seleccionados