Cirujanos Ortopédicos de España para el Mundo COEM

15 al 23 de julio de 2023

expedición

78

Dr. Gustavo García Herrera

Julio 2023

Como es habitual cada tercera semana del mes, hemos realizado nuestra expedición al Hospital de La Santé de Dschang este mes entre el 15 y el 22 de Julio, en la que no hemos encontrado antiguos compañeros de años anteriores y otros que era la primera vez que viajaban. La expedición contaba con Ana Capataz, enfermera, la doctora María José Orduña, anestesióloga, los doctores Alberto Galán Novella, Adriana Soria, Carla Carbonell, Irene Méndez y Gustavo García-Herrera, traumatólogos. Ademas a nuestra llegada nos encontramos a la doctora Maria residente de Medicina de familia en Denia que se encontraba haciendo una rotación durante su formación y se unió gustosa a nuestro grupo.


En esta ocasión en vez de salir desde Madrid, salimos desde distintos puntos de España y nos encontramos en Casablanca, ya que viajábamos con Royal Air Marroc, pues los precios actuales de las otras compañías no dan otra opción asequible. Desde allí enlazamos un vuelo hasta Douala que se desarrolló dentro de la normalidad, con la certeza absoluta de la falta de maletas a nuestro destino, cosa que pudimos comprobar más tarde.

Una vez hechas las oportunas reclamaciones, pusimos rumbo a Dschang con la consabida parada en el mercado de las frutas en el que pudimos descubrir nuevas variedades como el mangostán que es como una uva cítrica y muy sabrosa y la cocorolle (una variedad de chirimoya).

A nuestra llegada al Hospital nos esperaba Sor Pilar que nos enseño el recinto e iniciamos la toma de contacto con lo que iba a ser nuestra actividad durante toda la semana. Para ello antes se había dispuesto un refrigerio para tomar fuerzas y discutir entre todos los casos que se encontraban ingresados de cara a planificar las sesiones quirúrgicas. Así que distribuimos las estancias y acoplamos nuestras pertenencias para poder empezar la actividad.

A la plantilla habitual del Dr. Nges y el Dr. Yannik se han ido incorporando el recién casado Dr. Roger y otros tres integrantes mas que muestran gran interés por la Traumatología, por lo que los quirófanos cada vez son mas numerosos si ademas contamos con los estudiantes de enfermería /anestesia que acompañan a Zita y a Etien

Como de costumbre las jornadas de trabajo se han iniciado con la oración matutina, seguida del pase de planta , la posterior distribución de funciones entre la consulta externa, las curas y los quirófanos

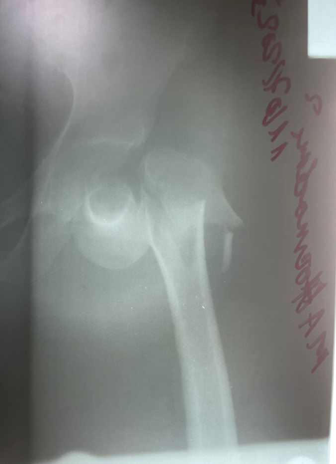
Las sesiones quirúrgicas se han podido dividir entre todos los integrantes pudiendo llevar a cabo a dos quirófanos varias cirugías entre ellas un caso complejo de fractura luxación de cadera con tibia bifocal homolateral consecuencia de los tan frecuentes y graves accidentes de moto.

En la consulta se fue fraguando lo que iba a ser nuestro quirófano a lo largo de la estancia pudiendo comprobar que la situación endémica de fracturas de tibia en todas sus modalidades continua sin cambiar. En total se han realizado 23 cirugías entre las que cabe destacar el caso anterior, ademas de 5 seudoartrosis de tibia, dos fracturas de fémur, una fractura luxación Lisfranc, de radio, seudoartrosis de humero y varios casos de cirugía de mano y miembro superior pues nos acompañaba el Dr. Galan . Ademas se han realizado varias limpiezas quirúrgicas de osteomielitis, osteítis y movilización séptica de una PTC, injertos de piel y un solo caso de ortopedia infantil de un Blount, realizado por el Dr. Nges. Poco a poco la autonomía para la resolución de los casos es mayor por parte del equipo local sin dejar de introducir nuevas técnicas como el enclavado humeral.

Para algunos la mañana empezaba con actividad física saludable para no perder buenas costumbres






También hubo momentos de rutina y descanso para todos como la visita al mercado local y ademas de las conocidas telas nos dimos una vuelta por las distintas calles de comida, especias y utensilios que resultaron de lo mas pintoresco para acabar con una posterior cena.

Como las maletas aparecieran dos días antes de la salida nos las arreglamos para organizar otra salida así como un poco de baile acompañados de parte de la plantilla el centro.

Una vez mas el trato por parte de la comunidad fue exquisito y cariñoso haciéndonos la estancia muy agradable y participativa, ademas de productiva, por lo que nuestra gratitud estará siempre con ellos por la experiencia que supone cada expedición y por la alegría de volver a encontrarlos cada vez con mas autonomía y suficiencia.

Debido a problemas de anulación de vuelo tuvimos que adelantar la salida un día con toda la pena que supone pero con la alegría de volver a casa y de saber que volveremos en cuanto nos sea posible

Esta web utiliza cookies para obtener datos estadísticos de la navegación de sus usuarios. Consulta nuestra política de privacidad y política de cookies para obtener más información. 


Puedes aceptar todas las cookies pulsando el botón "Aceptar todo”, rechazar su uso pulsando el botón “Denegar” ….

o selecciona las que desees y pulsa el botón  “Aceptar seleccionadas”. 

Aceptar seleccionados